

高い精度で、根管治療や歯髄保存治療を終えてもそれだけでは、治療は完了しません。
虫歯や、以前の修復物によって失われた歯を補い、噛める状態を作っていくことが最終的な仕上げになります。
最終的な修復物も精密でかつ適切な材料を使用することで、治療した歯がその先長期間に渡って安定した経過をたどることが可能になります。
この最終的な修復処置には3つの大きなポイントがあります。
治療した歯が美しい歯であることはとても重要です。
健康的な笑顔は美しい歯が作ります。
現在の審美治療はセラミック(陶器)と樹脂材料の2つが主流になっています。
毎回治療ごとにどちらがいいのかを悩むのではなく、毎回治療の内容、失われた歯の量によって適材適所で選択することも重要です。

美しいだけではなく、美味しくご飯が食べられる、自然で噛みやすい状態を作ることも非常に重要です。
噛み合わせに合う適切な材料で仕上げた後、その歯に最も適した噛み合わせの調整をしっかりとして、違和感のない使用感を目指します。
一日でしっくり来なくても、何度でも微調整をしていくことも可能です。

最後に、治療した歯と歯の間にきちんとフロスが適度な圧力で入ること、また、段差のない修復物で歯磨きをすれば簡単に汚れが落ちてくれることも重要です。
修復物に段差があっては、いくら歯磨きを頑張っても段差の中の汚れを取ることは非常に難しいです。
修復物が原因で虫歯を作らないようにすること、毎日のお家でのメンテナンスをしやすい状態を作るのも私達の大事な仕事です。

ダイレクトボンディングは、セラミックを90%程度含んだ樹脂を、虫歯を削った穴に入れて歯の形に整形し、その日のうちに失われた歯を回復させる治療法です。
樹脂は詰める時点では非常に柔らかく液体状のものもあり、光を当てることで固まる性質があるので、狭い空間を回復させることも可能です。
ダイレクトボンディングのコンセプトは、"できるだけ虫歯の部分を小さく削り、健康な歯をできるだけ保存して失われた歯を回復する"です。歯の表面にあるエナメル質は骨よりも硬い人体でもっとも硬い組織です。
そして、一度削ってしまったら二度と再生しないかけがえのない組織でもあります。
虫歯を取り残さず、最小限に削った上で天然のエナメル質を可能な限り残すことが、歯を長く持たせるために非常に重要で、ダイレクトボンディングが最適です。
ダイレクトボンディングは、できるだけ歯を削らずに小さく治療する方法ですが、一方で大きな面を覆ってかみ合わせを受け止めるには強度の面では少し弱く、長い経過を見ると心配な面もあります。
元々入っていた金属の詰め物が大きかったり、虫歯で失われた歯の量が大きく、広い噛み合わせの面を回復する必要がある時はセラミック修復が適しています。
コンセプトは、"噛み合わせを受け止めるのに十分な強度の審美的な材料で大きく失われた歯を回復する"です。
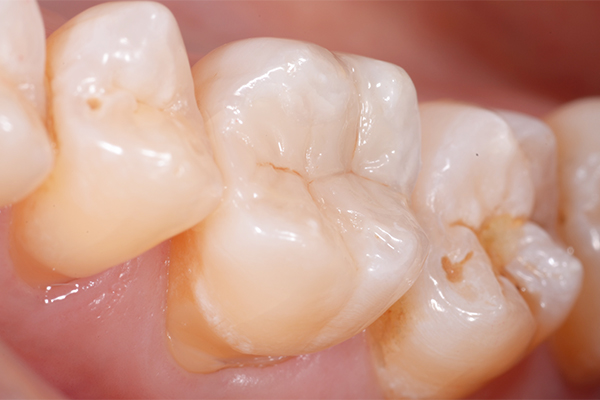
セラミック修復はその日のうちには仕上がらず、型取りをして技工士に製作してもらいセットします。
セラミックは非常に綺麗な面で仕上がってくるので、とても汚れがつきにくく、そして天然の歯と同じような審美性を確保することが可能です。また、歯と歯の接地面にもセラミックを使うことで、フロスを毎日気持ちよくパチンと入れることができ、メンテナンスの難易度も大きく下げてくれます。

ダイレクトボンディングやセラミック治療など様々な症例について詳しくご紹介致しております。
精密根管治療・歯髄保存・修復治療 専門
〒150-0021
東京都渋谷区恵比寿西2-2-8寿豊ビル4F
精密根管治療・歯髄保存・修復治療
恵比寿ヘンミデンタルオフィスへのご予約はお電話にて
| 診療時間 | 月 | 火 | 水 | 木 | 金 | 土 |
|---|---|---|---|---|---|---|
| 10:00-13:00 | ● | ※ | ● | ● | ● | ※ |
| 14:30-18:30 | ● | ● | ● | ● |
休診日:日曜日/祝日/隔週火曜・土曜
※:隔週で火曜日と土曜日を交互にお休みをいただく週休2日となっております。