

患者様は歯と歯の間のフロスが入れにくく、いつも物が詰まってしまうと来院されました。
金属の詰め物がずれているため、フロスを入れるとちぎれてしまいお掃除ができませんでした。金属の下の虫歯の治療を行い、色合わせの写真を取り、型取りをしてセラミックの詰め物を入れました。セラミックの詰め物をする際も、唾液の混入はしっかりとつけることを妨げます。ラバーダムをしてお口の中と隔離して治療を行いました。
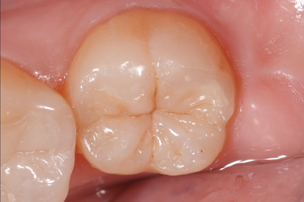
セット後は段差がなくなり、フロスがパチンと気持ちよく入るようになり、お手入れがしやすくなりました。
また、ご自身の歯に近い色のセラミックを選択することで審美的にも美しく仕上がりました。

1.治療前

2.色合わせ

3.ラバーダムを使用

4.セラミックインレー

5.治療後
| 治療費 | セラミックインレー(詰め物) 1本 110,000円(税込) |
|---|---|
| 治療回数 | 2-3回 |
| 治療リスク | 破折することがまれにありますが、再修復でリカバリー致します。 |
患者様は下の歯が水で染みると来院されました。
過去に治療した跡があり、食べカスも詰まりやすそうな状態でした。過去の治療を除去すると大量の虫歯がその下から出てきました。虫歯を除去すると、歯の大半が失われていました。
この様に大きく失われた歯を回復するにはセラミックは非常に優れた材料です。非常に精密に段差なく入り、審美的にも歯と非常によく似た色調で、汚れも付きにくく快適にメンテナンスすることが可能になります。
前の歯と離れていた部分も適切に回復し、フロスがぱちんと入り、食べカスは入らなくなりました。

1.治療前
下の奥歯が染みると来院されました。
歯の両側には昔行った治療の後があります。

1-2.治療前
別の角度から見ると手前の歯との間はスカスカです。
これでは食べカスがたくさん入ってしまいます。

2.過去の治療を除去
プラスチックの材料を除去していくと中は大きな虫歯になっていました。

3.中の虫歯を除去
全ての虫歯を除去すると、歯の大半が失われています。
こういうケースは、私はダイレクトボンディングでは範囲が広すぎて治すのは難しいと考えています。

4.セラミックを入れるための形作り
歯の内部の部分は樹脂で補強をします。
さらにセラミックを入れるための形作りを行います。

5.色合わせ
形を作ったら型取りをします。技工士さんに周りの歯の色を伝えるために色見本と一緒に歯の写真を取ります。
この写真を取ることで、普段お口の中を見ることのできない技工士さんが、適切なセラミックの色の選択をすることができます。

6.治療後
製作したセラミックを入れて治療が終了しました。
大きく失われた歯を審美的に回復することができました。治療回数は型取りを行うため2回かかります。

6-2.治療後
手前の歯との接地点もしっかりと回復し、食べカスが詰まらないようになりました。
フロスもパチンと気持ちよく通すことができるようにしています。
| 治療費 | セラミックインレー(詰め物) 110,000円(税込) |
|---|---|
| 治療回数 | 2回 |
| 治療リスク | 破折することがまれにありますが、再修復でリカバリー致します。 |
| 治療費 | セラミックインレー(詰め物) 110,000円(税込)×3本分 |
|---|---|
| 治療回数 | 2~3回※ |
| 治療リスク | 破折が起こった場合、修理もしくは、新しく作りなおします。 |
※型取りをして、次のアポイントでセットになります。
虫歯が深い場合、神経を保護する処置を行い、症状に問題がないかを確認するため3回になります。
右上第一大臼歯にしみる症状があり、金属の詰め物が劣化しているため、外してダイレクトボンディングでやり直しました。
金属の詰め物を外すと虫歯が存在したため、まずしっかり虫歯除去を行い、神経に問題の無いように補強し、ダイレクトボンディングで一回の治療でかみ合わせの面を作るところまで行いました。かみ合わせの面でも、周囲に健全な歯が残っていればダイレクトボンディングでも問題はありません。
最小の削る量で少ない回数で患者様のご負担の少ない治療が可能になります。

1.術前口腔内写真
上顎右側第一大臼歯。劣化した金属の詰め物が入っています。

2.金属の下に虫歯を発見
金属の詰め物を除去すると下から虫歯が出てきました。

3.虫歯をすべて除去
マイクロスコープを使い取り残しの無いように虫歯を除去しました。

4.エナメルエッチング
周囲の残っている歯に付いている微細な汚れを薬剤で清掃しています。

5.充填部位の表面処理
欠損部位に詰める樹脂(コンポジットレジン)の接着力を高めるための歯の処理をします。

6.欠損部底面の充填
流れの良いコンポジットレジンを底面に一層流します。

6-2.欠損部底面の充填
底面を一層保護するように充填しました。

7.かみ合わせ面の精密な仕上げ
大まかに充填したかみ合わせ面に隆線と呼ばれる細かい凹凸を再現していきます。

7-2.かみ合わせ面の精密な仕上げ
マイクロスコープ越しに、その歯ごとに特有の形を精密に付与していきます。

7-3.かみ合わせ面の精密な仕上げ
天然の歯のかたちを再現するために、凹凸がどこにどのようにあるのか知っていることも重要です。

7-4.かみ合わせ面の精密な仕上げ
拡大視野の中で時間をかけて丁寧に過不足なく形態を付与します。

8.充填完了
細かい形を再現し、充填が完了しました。

9.術後
研磨まで終了しました。マイクロスコープを使用することで歯とコンポジットレジンのつなぎ目がわからない精密な充填が可能です。
天然の歯に近い色調や形に仕上げられました。
| 治療費 | ダイレクトボンディング大臼歯かみ合わせ1面 77,000円(税込) |
|---|---|
| 治療回数 | 1回 |
| 治療リスク | 着色が起こることがあり、再研磨するときれいになります。摩耗や破折などの際は修理が可能です。 |
右上の小臼歯の隣接面(歯と歯の間に)大きな虫歯ができた症例です。
以前に治療を行い、金属の詰め物がある歯は、入っている金属をすべて除去する必要があるため、残る健康な歯の量は必然的に少なくなってしまいます。
しかし、本症例のように、今まで治療を行っていない歯(インタクトといいます)にできた虫歯治療には、健康な歯を残し、最小限に削って詰めることのできるダイレクトボンディングが非常に適した治療法と考えています。
どのように治療を勧めていくかステップごとにご紹介いたします。

1.術前の口腔内写真
右上の第一小臼歯の歯と歯の間(隣接面)に大きな黒い影が見えています。中で虫歯が大きく広がっています。

2.ラバーダムを装着し、虫歯をすべて除去
ラバーダムは、虫歯治療においても感染予防に非常に重要です。歯の間の虫歯をすべて除去しました。健康な部分をできるだけ削らないように配慮することが重要です。

3.歯の表面処理
隣の歯に薬剤の影響がないようにバリアをして、歯の表面に材料がしっかり接着するように表面の処理を行います。

4.接着剤を歯に塗布
ダイレクトボンディングで使用する「コンポジットレジン」という樹脂材料と歯が強固に結合するための接着剤を塗布しています。

5.マトリクスを設置する
マトリクスというカーブのついたプラスチックのシートを設置。歯の隣接面の形を再現できるものを選択します。

6.ウェッジをいれて歯を少し開く
「ウェッジ」という、プラスチックでできた器具を歯と歯の間に入れて少し開きます。こうすることで、治療後に歯と歯の間がスカスカになってしまうことを防止します。

7.マトリクスの設置完了
マトリクスを更に歯の面にピッタリと合わせるように綿球を使って固定し、マイクロスコープでしっかり適合していることを確認します。

8.コンポジットレジンを充填
「コンポジットレジン」という樹脂を流し込んでいきます。コンポジットレジンは青い光で硬く固まるため、作業中は青を打ち消す黄色の光をマイクロスコープから出しています。

9.青い光でコンポジットレジンを硬化
形の回復ができたら、青い光を当て固めます。この作業を繰り返し、歯の形を再現していきます。

10.隣接面の形態を回復
隣接面の形態を回復しました。マトリクスを除去し、かみ合わせ面の回復を行います。

11.かみ合わせ面の回復も完了
かみ合わせ面の自然な溝や形態を付与し充填を完了しました。ラバーダムをつけた状態で充填することで唾液などの混入のない充填を行うことが可能です。

12.かみ合わせの調整後研磨
ラバーダムを外し、かみ合わせの調整後、研磨を行い可能な限り段差のない状態に仕上げていきます。

13.すべての治療工程が終了
研磨まで行いすべての工程が終了しました。虫歯をすべて除去し、自然な形態に回復することができました。隣接面もフロスがパチンと気持ちよく通せる状態に回復できました。
本症例は、ダイレクトボンディングの長所である、最小限に削り、健全な歯を残すコンセプトを最大限に活かした治療を行いました。もし、金属やセラミックの詰め物を選択すると、材料の厚みの確保や設計上の理由でもう少し歯を削る必要が出ていたと思います。
虫歯を除去し、健康な歯がどのくらい残っているかで、適切な治療法は様々に変わります。当院ではマイクロスコープで術前、術中、術後の歯の状態を記録し、患者様と共有することで、治療選択にご納得がいくよう日々努めております。
本動画は、歯科医療従事者の研修向けに作成したもので専門用語の解説になりますが、治療の様子がわかるようにご紹介いたします。
| 治療費 | ダイレクトボンディング小臼歯隣接面を含む虫歯 77,000円(税込) |
|---|---|
| 治療回数 | 2回(1回目で虫歯除去、2回目で充填を行いました) |
| 治療リスク | 破損した場合は、修理によって回復を行います。着色が起きた場合は再研磨いたします。 |
患者様は冷たい水や歯ブラシで歯がしみて痛いとご来院されました。右上の第一、第二小臼歯の頬側の歯と歯肉のキワの部分の色が少し茶褐色になっています。
このように、歯の表層のエナメル質が剥がれると内部の象牙質という層がむき出しになります。象牙質は、中空のストロー状の構造をしていて、歯の内部の神経に様々な刺激を伝達する役割がありますが、このように剥き出しになってしまうと刺激が強まり冷たい水でしみたり、痛みが出やすくなるいわゆる「知覚過敏」が起こります。
おそらく同じ位置で両方の歯の根本がなくなっていることから、硬い歯ブラシで強いブラッシングを行ってしまったことが原因として考えられます。ダイレクトボンディングはこういったピンポイントの歯の欠損に最も適した治療で、歯を一切削ることなく最小限の介入で症状の改善を図る事が可能となります。

1.術前口腔内写真
右上第一、二小臼歯の根本がむき出しになり水がしみます。

2.ラバーダム防湿
風をかけただけでも痛むような場合は、麻酔をしっかりして痛みがないように治療します。
ラバーダムで唾液の侵入を防ぎます。

3.歯の表面清掃
歯の表層の細かい汚れを落とす操作を行います。

4.歯の表面処理
盛り足す樹脂がしっかりと付くように、残った歯の表面を処理します。

5.コンポジットレジン充填
コンポジットレジンという粘り気のある樹脂を欠損部に入れていきます。

6.マイクロスコープで精密に整えます
マイクロスコープで拡大し、段差の無いように精密にコンポジットレジンを伸ばし整えます。

7.光照射
コンポジットレジンは青い光に反応して固まり、丈夫な素材に変化します。

8.充填完了
歯の欠損部にコンポジットレジンが隙間なく充填されました。過不足のない充填が非常に短時間で行えます。

9.形態修正・研磨終了
充填したコンポジットレジンを段差なく、汚れがたまらず歯磨きしやすい形に整え、艶出しの研磨をします。後ろの第二小臼歯も研磨まで終えました。
充填を終えると知覚過敏の症状は即座に消失しました。
| 治療費 | ダイレクトボンディング楔状欠損の充填 77,000円(税込)✕2本 |
|---|---|
| 治療回数 | 1本につき1回 |
| 治療リスク | 着色が起きた場合、再研磨が可能です。歯損した場合も部分的な修理が行えます。 |
患者様は左上の奥歯に冷たい水でしみたり、痛みがあると来院されました。
お口の中の診査を行うと左上の第二小臼歯の奥の面に虫歯があるのを発見しました。患者様に画像をお見せし、今回はできるだけ最小限に歯を削ることを目的にダイレクトボンディングで治療することに同意していただきました。
治療前にしっかりと麻酔をしてお痛みがない状態で、マイクロスコープを使用し最小限に虫歯を除去しました。虫歯を取った部分にコンポジットレジンという樹脂の材料を詰め、かみ合わせのチェック、研磨をして治療を終えました。
治療前の痛みは改善し、フロスが通せる理想的な形に仕上がりました。

1.治療前
左上の第二小臼歯、歯と歯の間に虫歯があり、水などがしみて痛みがあると来院されました。
マイクロスコープで歯の真上から見ると内部が黒くなっていました。

1-2.治療前
マイクロスコープでミラーを使って歯の横から見てみると、黒くなっているところに大きな虫歯の穴があいていることがわかりました。

2.虫歯を除去
マイクロスコープを使い、健康な部分を触らないよう可能な限り小さく虫歯を除去しました。
ラバーダムを使用して唾液の混入がないような環境でダイレクトボンディングを行っていきます。

3.マトリックスを使用
マトリックスという器具を使用し、失われた歯の外形を回復するためのシートを合わせます。

3-2.マトリックスを使用
マイクロスコープで拡大し、シートを歯に密着させ隙間がないことを確認します。この作業がとても大事です。

4.樹脂の流し込み
シート内にコンポジットレジンという光で固まる強度の高い樹脂を流し込み、まず歯の外側の形を作ります。

4-2.樹脂の流し込み
さらにコンポジットレジンで歯の内部の構造を回復します。
自然感を出すための色の選択も重要です。

5.治療後
詰め終わったかみ合わせ面からの写真です。
研磨前ですが、隙間がほとんどなく詰めることができました。

6.治療後の経過
研磨をして1週間ほど経過した状態です。
術前のお痛みは改善しました。
| 治療費 | ダイレクトボンディング小臼歯隣接面を含む虫歯 77,000円(税込) |
|---|---|
| 治療回数 | 1回 |
| 治療リスク | 着色が起こることがあり、再研磨するときれいになります。摩耗や破折などの際は修理が可能です。 |
下の小臼歯という歯の間にある虫歯をマイクロスコープによる検診で発見しました。患者様はフロスがひっかかるとおっしゃっていた部分です。
この様な小さな虫歯はセラミックを入れると大きく削らなくては治療できません。
ダイレクトボンディングであれば、ピンポイントで小さく虫歯を除去し、その場で白い樹脂を詰めることが可能です。小さく削り、健康な歯をできるだけ残し、精密に詰めることで治療した部分がほとんどわからない様な仕上がりが可能となります。

1.治療前
歯と歯の間にある虫歯をマイクロスコープで見つけました。この様な虫歯をセラミックで治そうとすると大きく健康な部分を削らなくてはいけません。

2.虫歯を除去
マイクロスコープを見ながらピンポイントで虫歯を除去していきます。しっかり麻酔をするため痛みは全くありません。

2-2.虫歯を除去
さらに虫歯の内部を取り残しの無い様にしっかりと除去していきます。

2-3.虫歯を除去
虫歯を除去し終わったところです。
この様に虫歯のみをピンポイントで除去できると歯を削る量はかなり小さくなります。

3.樹脂の流し込み
樹脂を削った穴に流し込み光を当てて固めていきます。
この作業も過不足無く行うためにマイクロスコープは必須です。

4.治療後
一回の治療で終了しました。
小さく精密に治療することで、治療した部分はほとんどわからなくなってしまいます。
| 治療費 | ダイレクトボンディング小臼歯隣接面 77,000円(税込) |
|---|---|
| 治療回数 | 1回 |
| 治療リスク | 着色が起こることがあり、再研磨するときれいになります。摩耗や破折などの際は修理が可能です。 |

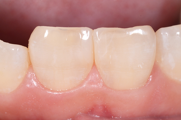
1.術前口腔内写真
前歯の間に古い修復物があり劣化して色がついてしまっています。

2.ラバーダムをして唾液から隔離して充填
まず、マイクロスコープで古い修復物、虫歯を取り切り、着色を除去してラバーダムをします。

3.コンポジットレジンを充填
左右のバランスが崩れないように片方ずつ歯の外形から作っていきます。

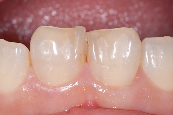
4.最終研磨終了
コンポジットレジンの研磨まで終了しました。
天然の歯に馴染んだ形態と色を再現できたと思います。

術前の状態

術後2年3ヶ月の口腔内写真真
本症例は、2021年8月23日の経過観察で2年3ヶ月の経過を迎えました。
引き続き丁寧な経過観察を続けていきます。
| 治療費 | ダイレクトボンディング前歯2面 110,000円(税込)(×2本分) |
|---|---|
| 治療回数 | 研磨を入れて2回(充填のみだと1回です) |
| 治療リスク | 着色が起こることがあり、再研磨するときれいになります。摩耗や破折などの際は修理が可能です。 |
患者様は、過去に行った治療の縁の辺りが黒くなり気になってきたと来院されました。
精査するとご自身の歯と治療の隙間ができ、そこから虫歯にもなっているようでした。虫歯と過去の治療をすべて除去し、もう一度、その場で樹脂を詰めるダイレクトボンディングで噛み合わせの面を作りました。
ダイレクトボンディングはその場で仕上げまでできるため、回数がかからず、歯を削る量も少ないので非常に患者様にやさしい治療です。

1.治療前

2.治療後
| 治療費 | ダイレクトボンディング大臼歯かみ合わせ面 77,000円(税込) |
|---|---|
| 治療回数 | 1-2回 |
| 治療リスク | 着色が起こることがあり、再研磨するときれいになります。摩耗や破折などの際は修理が可能です。 |
患者様は、いつも冷たいものがしみている、歯をきれいにしたいと来院されました。
銀歯を除去すると、下に大量の虫歯があり、それを除去しコンポジットレジンという樹脂で噛み合わせの面を作りました。樹脂は詰める時に唾液などの水分で歯とのくっつきが悪くなるため、当院では治療中は、ラバーダムというお口の中と治療する歯を隔離する方法を用いています。
治療はほぼ1回虫歯を取って詰めるところまで終了します。2回目は調整と研磨のみ行うことが多いです。
患者様のお痛みはなくなり、経過良好です。

1.治療前

2.ラバーダムを使用

3.治療後
| 治療費 | ダイレクトボンディング大臼歯かみ合わせ面 77,000円(税込) |
|---|---|
| 治療回数 | 2回 |
| 治療リスク | 着色が起こることがあり、再研磨するときれいになります。摩耗や破折などの際は修理が可能です。 |

1.術前口腔内写真
右の前歯の間に古い修復物が入っているが、劣化して色が付き改善したい。患者様の結婚式直前の依頼でした。

2.古い修復物と虫歯を除去
色の原因となっていた古い修復物とその下の虫歯をマイクロスコープを用いて残さず除去しました。

3.コンポジットレジンの充填、研磨を終了
研磨まで終わり、周りの歯の色と調和が取れたようです。
患者様に喜んでいただけてホッとしました。
| 治療費 | ダイレクトボンディング前歯2面 77,000円(税込)(×2本分) |
|---|---|
| 治療回数 | 研磨を入れて2回(充填のみだと1回です) |
| 治療リスク | 着色が起こることがあり、再研磨するときれいになります。摩耗や破折などの際は修理が可能です。 |
| 治療費 | ダイレクトボンディング前歯2面 77,000円(税込)(×2本分) |
|---|---|
| 治療回数 | 2回(1回目で形はすべて出来上がり、2回目で研磨を行います) |
| 治療リスク | 破折などにより破損した場合は、修理によって回復をおこないます。 |

術後約2年経過

術後約2年経過
| 治療費 | ダイレクトボンディング大臼歯かみ合わせ面 77,000円(税込) |
|---|---|
| 治療回数 | 2回(1回目で充填、2回目で研磨を行います) |
| 治療リスク | 破折などにより破損した場合は、修理によって回復をおこないます。 着色が起きた場合は再研磨いたします。 |
| 治療費 | ダイレクトボンディング大臼歯隣接面を含む虫歯2面 77,000円(税込) |
|---|---|
| 治療回数 | 2回(1回目で充填、2回目で研磨を行います) |
| 治療リスク | 破折などにより破損した場合は、修理によって回復をおこないます。 着色が起きた場合は再研磨いたします。 |







| 治療費 | ダイレクトボンディング大臼歯かみ合わせ面2面 77,000円(税込) |
|---|---|
| 治療回数 | 3回(2回で虫歯除去、充填、3回目で研磨を行います) |
| 治療リスク | 破折などにより破損した場合は、修理によって回復をおこないます。 着色が起きた場合は再研磨いたします。 |
このような専門的な知識とテクニック、設備を用いることで、今まで残すことが難しいと考えられていた歯を保存することが可能になってきました。
何度も腫れを繰り返している、痛みが全く取れない、他のクリニックで抜歯することになった、綺麗な歯を入れるための基礎工事をしっかりやっておきたいなど、歯を残すことについてどんな小さなことでもご相談ください。
少しでも歯のお悩みの解決の力になれれば嬉しいです。

精密根管治療・歯髄保存・修復治療 専門
〒150-0021
東京都渋谷区恵比寿西2-2-8寿豊ビル4F
精密根管治療・歯髄保存・修復治療
恵比寿ヘンミデンタルオフィスへのご予約はお電話にて
| 診療時間 | 月 | 火 | 水 | 木 | 金 | 土 |
|---|---|---|---|---|---|---|
| 10:00-13:00 | ● | ※ | ● | ● | ● | ※ |
| 14:30-18:30 | ● | ● | ● | ● |
休診日:日曜日/祝日/隔週火曜・土曜
※:隔週で火曜日と土曜日を交互にお休みをいただく週休2日となっております。