

患者様は以前前歯に外傷の経験があり、他院にて神経を除去する治療をされていました。治療後数年経ってから、前歯の歯茎が腫れて膿が出てきたり、痛みが出るといった症状に悩まされていらっしゃいました。
当院で診査を行うと、レントゲンで右上の前歯の根の先に炎症が起き、膿がたまっていることが確認できました。
根の先の炎症は、歯の中に新たに入ってきたバイ菌が根の中で増え、根の先の骨の中に出ていくことで起こります。体の免疫力との関係で、症状が強くなったり引いたりを繰り返します。
治療は、再度根の中を治療する「感染根管治療」、もしくは外科的に根の先を切断して膿を除去する「歯根端切除術」が適応になります。今回は、患者様ご本人の希望もあり、冠をはずして根の中にアプローチする「感染根管治療」で治療をおこなうことになりました。
セラミックの冠をはずし(治療中は仮歯を入れるので、審美的に問題になることはありません。)、中から出てきた金属の土台を慎重にご自身の歯を削らないようにマイクロスコープで拡大して見ながら除去を行いました。
土台を外すと中は感染をおこし以前治療した時に入れたお薬が腐ってしまっていました。専用の器具を使い慎重に根の中の感染を除去し、消毒薬で洗浄します。
2回ほどの治療で、腫れとお痛みが引いて症状が改善しました。その後、根の中に再度お薬を詰め、樹脂を使用した土台を立ててセラミックの冠で歯を入れました。真ん中の前歯で非常に目立つ位置にありますが、隣の歯との色合わせはうまくいったと思います。
術前のお痛みや腫れは改善し、レントゲンでも膿のある部分は殆どなくなりました。引き続きしっかりと経過を追っていきます。

1.治療前
右上の一番真ん中の前歯に腫れやお痛みがあり来院されました。
一見きれいな冠で治療できているように見えます。

2.治療前のレントゲン
レントゲンで撮影すると、根の先に黒い影あり、膿が溜まっている様子がわかります(黄色い矢印)。
歯と冠の間にある隙間から入ったばい菌が、歯の中で増えて根の先に出ていき炎症を起こしていることが原因です。

3.セラミックの冠を外す
治療はまずセラミックの冠を外すところから始まります。
中から金属の土台が出てきました。

4.金属の土台を除去
金属の土台を除去します。
マイクロスコープで拡大してご自身の歯を触らないよう慎重に少しづつ除去していきます。

5.根の中を確認
歯の根を触らないように慎重に土台を除去すると、その下から以前治療した際に入れたと思われるお薬がばい菌に感染していることがわかりました。膿もたまっている様子がわかります。
マイクロスコープで拡大してみると、根の中の様々な問題が手に取るようにわかります。

6.感染した薬を除去
先端が0.3ミリほどの非常に小さな器具を用いて慎重に中の感染したお薬を除去していきます。
マイクロスコープ専用の器具を用いることで精密で安全な治療を行うことが可能となります。

6-2.感染した薬を除去
根の中の汚れを除去し数回に渡り中を消毒液で洗浄すると、根の先から出る膿がほとんどなくなりました。マイクロスコープできれいな組織が確認できます。
根の中から出る汚れがなくなったことで身体が治る力を発揮してくれているようです。

7.ばい菌が入らないように封鎖
患者様にも症状がなくなったことを確認し、根の中に新しいお薬を入れ、新たなばい菌が入らないように中を緊密に封鎖します。

8.土台を立てる
根の治療を終えた後に土台を立てます。土台は金属を使わず、グラスファイバーの芯棒を立て樹脂で固めます。
金属を使わないため光を通すことができ、審美的な処置が行えます。また、グラスファイバーは固くしなやかで、歯にかかるストレスが少なくなると研究で報告されています。

9.型取り
仮歯で歯の形を色々と検討し、患者様にも納得していただいたところで型取りを行います。
型取りは、入れる冠の精度を左右する大事な工程です。精密な型取りを行えるシリコンの型取り材を選択しています。

10.セラミックの冠を作製
型取りとお口の中の写真の情報をもとに、当院の担当技工士さんに美しい歯を作っていただきました。金属を使わずすべてセラミックでできています。

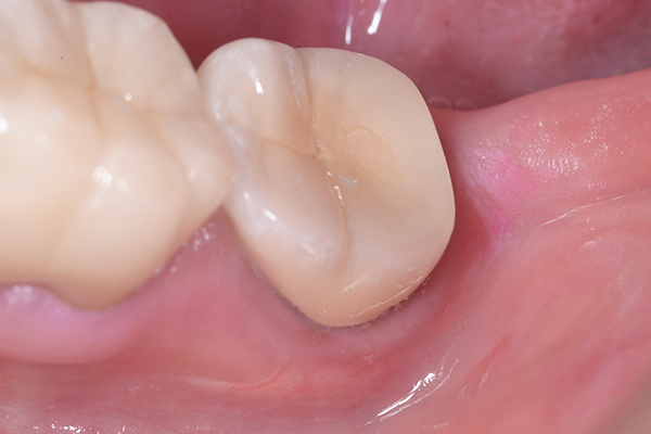
11.セラミックの歯をセット
セラミックの冠をセットしました。
色や形など隣の歯との調和も取れて患者様にもご満足いただけました。

12.治療後の経過
治療後も定期的な経過観察をさせていただき、治療した歯の経過を追わせていただいています。
2年8ヶ月経過しましたが、根の先の膿は消失し、不快症状もなく美味しくご飯が食べられる良好な状態が続いています。

12-2.治療後の経過
2年8ヶ月経過した口腔内写真です。
この先も、責任を持って経過を追わせていただきます。

術後4年5ヶ月の口腔内写真

術後4年5ヶ月のデンタルX線写真
本症例は、2021年3月29日の経過観察で4年5ヶ月の経過を迎えました。
不快症状なく安定した経過をたどっています。
今後も丁寧な経過観察を続けていきます。
| 治療費 | 前歯感染根管治療前歯 143,000円(税込) |
|---|---|
| 治療回数 | 4回(根の治療のパート) |
| 治療リスク | 再発がおこることがあります。再治療、もしくは外科的な治療で対応します。 |
患者様は、左下の奥歯が何度か腫れたことがあり、噛むと痛みがあると来院されました。
原因を調べると、下の奥歯に現れる、特殊な形をした根の中に感染をおこし、お痛みが出ていました。
根が分かれておらず、癒合して神経の管がCの形をしています。専門用語で、「樋状根(といじょうこん)」といいます。アジア人に多く30%くらい方がこの形をしています。異常ではなく、どなたにでも現れる可能性のあるものですが、形が複雑で治療が難しくなる傾向があります。
この治療ではマイクロスコープを使うことで根の形をしっかりと把握し、隠れたばい菌や汚れを隅々までお掃除したところ、症状が無くなりました。根の治療後は、セラミックの歯を入れて長期間安定した状態で過ごされています。

1.治療前
左下の歯が噛むと痛みがあると来院されました。

2.治療前のレントゲン
お口の中の診査と、レントゲンで一番後ろの歯が原因とわかり根の治療(感染根管治療)を開始します。

3.被せものと土台を除去
被せものと土台を除去すると、中に入っている以前治療した時に入れた材料はかなり汚れていました。
被せものがゆるみ、中に沢山のばい菌が入ってしまったからです。(マイクロスコープ録画画像)

4.失われた歯を補強
まずは虫歯をきちんと取って、根の治療中に問題がないように失われた歯の補強をします。(マイクロスコープ録画画像)

5.ラバーダムをして根の中を掃除
ラバーダム(お口の中と治療する歯を隔離する処置)をして、根の中のお掃除に入ります。
中はかなり汚れていました。マイクロスコープを見て、残されていた器具の一部などを含め中を綺麗にしていきます。

5-2.ラバーダムをして根の中を掃除
根と根を繋ぐ部分をよく観察すると、汚れが詰まっていたので、お掃除していくと、さらにその下から汚れが出てきました。

5-3.ラバーダムをして根の中を掃除
消毒液で何度も中を洗い、ようやく綺麗になりました。
この頃には患者様の症状も無くなっていました。

6.ばい菌が増えないように中を埋める
綺麗になっても中が空っぽではまたばい菌が増えてしまうため材料で隙間無く埋めていく処置(根管充填)を行いました。

6-2.ばい菌が増えないように中を埋める
隙間なく緊密に詰めることができました。

7.根管充填をした時のレントゲン
根管充填をした時のレントゲン写真です。
C型の根を詰めると、この様に帯状に詰め物が確認できます。

8.セラミックの歯をセット
土台を立てて、型取りをしセラミックの歯をセットしました。

9.治療後の経過
4年9ヶ月後、症状無く安定しています。
手前の2本の歯も根の治療をやり直しセラミックの歯にしました。

9-2.治療後の経過
6年1ヶ月後、全く問題なく経過しています。
セラミックの冠も長期間いい状態を保っています。引き続きメンテナンスを行いながら経過を責任持って追っていきます。

9-3.治療後の経過
6年1ヶ月後のレントゲン写真も問題ありません。

術後7年3ヶ月後の口腔内写真

術後7年3ヶ月後のレントゲン写真
本症例は、2021年7月9日の経過観察で7年3ヶ月の経過を迎えました。
現在も不快症状無く、安定した経過をたどっております。
今後も丁寧に経過観察を続けていきたいと思います。
| 治療費 | 大臼歯感染根管治療 165,000円(税込) |
|---|---|
| 治療回数 | 4回 |
| 治療リスク | 再発がおこることがあります。再治療、もしくは外科的な治療で対応します。 |
患者様は1年ほど前に他院にて虫歯治療した歯が最近になって腫れてきて痛みがあると来院されました。
診断の結果、歯の神経はすでに死んでしまっていて、その影響で歯の周りの骨に膿が溜まり、歯肉が腫れていました。
治療は、無菌的な環境を作るラバーダムを使用し、歯に新たなばい菌が入らないように配慮し、腐った神経を除去する「感染根管治療」を行いました。
歯肉の腫れや膿の出口は1回の治療で引いてきました。その後、中を消毒する処置を行い、3回目にきれいにした根の中を、封鎖する処置を行いました。その後、セラミックの被せものをして失われた歯を回復しました。
1年9ヶ月後のレントゲンでの経過観察では、術前にあった根の周囲の膿の像はほとんどなくなり、健康な骨が回復しました。

1.治療前
左下第一大臼歯の歯肉に腫れがあり、ニキビのような膿の出口があります。
噛んだ時の痛みがありました。
診査をすると神経は反応がなく死んでしまっていました。

2.治療前のレントゲン
レントゲンで黒く抜けているところが膿の溜まっているところです。

2-2.治療前のレントゲン
赤線で囲った部分が歯の周りに溜まった膿です。
歯の神経が死んでしまうと、根の先から腐った成分が出ていき、それによって歯の周りに炎症が起きるのです。
その結果膿がたまり、進行するとお口の中に「瘻孔」と言われるニキビのような排出口を作り、膿を排出します。

3.CTで確認
CTで見ると歯の周囲の骨がだいぶ失われていることがわかります。

4.治療開始
治療を開始しました。
まずは被せものを除去し、腐った神経までアクセスします。(マイクロスコープで撮影)

5.被せ物の中を確認
すると、被せものの中は虫歯だらけになっていました。 (緑色の部分が染め出した虫歯です)

6.虫歯を除去
まずは虫歯を徹底的に除去しました。

7.ラバーダムを使用し、神経を除去
その後、歯の補強を行い、治療中の歯にばい菌が入らないようにラバーダムをして根の中の腐った神経を除去し消毒を行いました。

8.治療後の腫れの様子
次回の来院時には歯肉の腫れが収まり、膿の出口が閉じていました。歯の中のばい菌が少なくなり、歯の周りの炎症が治ってきていることを示します。

9.ばい菌が入らないように封鎖
根の中に新たなばい菌が入らないように封鎖を行い根の治療が終了します。白く見えているのが封鎖した材料です。まだ根の周りの膿の影は残っているようです。

10.セラミックの冠を作製
虫歯によって失われた歯を回復するためにセラミックの冠を作製しました。
セラミックは、歯に非常に近い色、形を再現でき、表面に汚れがつきにくく、さらにアレルギーの出ない体に優しい材料です。

11.セラミックの冠をセット
セラミックの冠をセットしました。
審美的にも非常に美しく仕上がりました。

12.治療後の経過
1年9ヶ月後の経過観察時の写真です。

13.治療後のレントゲン
1年9ヶ月後の経過観察時のレントゲンです。
術前にあった歯の周りの大きな膿の影はほとんどなくなりました。歯の周りには健康な骨が再生してしっかりと支えてくれています。
人によって治る時間は様々ですが、歯の中のばい菌がなくなることで、身体が治る力を発揮できると徐々に炎症によって失われた骨が戻り健康な状態に戻っていきます。

14.術前術後のレントゲンの変化
| 治療費 | 感染根管治療 165,000円(税込) ※土台、冠の料金は別途かかります |
|---|---|
| 治療回数 | 3回(根の治療のパート) |
| 治療リスク | 再発がおこることがあります。再治療、もしくは外科的な治療で対応します。 |
左下の第一大臼歯の根の治療です。患者様は、噛むときの違和感を訴えていらっしゃいました。
術前のレントゲンでは、はっきりと原因が読み取れなかったのですが、CTを撮るとで根の内側を土台の足が突き抜けている可能性があると考え、患者様の同意の上、根の治療を開始しました。
実際に土台を外し、根の中をマイクロスコープで拡大して見てみると、土台の足の先端部分が歯の外に突き出しており、炎症を起こしていることがわかりました。
このように、本来開いてはいけないところに穴が空き、根の外と交通してばい菌が入ってしまう病態を専門的に「穿孔」といいます。穿孔は、従来治療が困難なケースも多く、経過も不確定な部分が多い治療でした。しかし、現在は、封鎖材料の進化により、感染を制御した上で封鎖をしっかり行うことで、歯を保存できる可能性が増えています。
本症例も、穿孔部の汚れを綺麗にし封鎖を行い、症状が無くなったことを確認し、根の治療を終えました。現在は3年6ヶ月の経過を見ていますが、経過良好で問題ありません。
今後も丁寧に、メンテナンスと共に経過観察を続けて行きたいと考えています。

1.術前の口腔内写真
術前口腔内写真です。
噛んだときに違和感が気になると来院されました。

2.術前のX線写真
レントゲン写真では大きな問題が無いように見えますが、金属の土台が歯の生えている方向と違う方向に入っていることがわかります。

3.術前CT診断
CTで確認すると、土台の足の部分が根の内側の表面ギリギリに入っています。ここに問題がありそうだと考え治療を開始しました。

4.冠と土台を除去
冠と土台を除去し、まず虫歯になってしまっている部分を徹底的に除去します。

5.歯の補強(隔壁)
虫歯を除去した後に、薄くなった歯が根の治療中に問題がないように補強します。専門的には隔壁と言います。

6.仮歯を作成
治療中に噛める状態を維持するため仮歯を作成します。

7.仮歯のセット
このように治療中に噛んでも問題ないと判断した場合は、仮歯を入れて治療を進めることもあります。

8.根の中は・・・
では、根の中はどうなっていたのでしょう。
写真に見えているのが治療する歯の後ろ側の根です。土台の方向がやはり内側にずれていたため本来の根とは違う方向に穴が空いていました。穿孔という状態です。
これが違和感の原因だと考えられます。

9.穿孔部の汚れを綺麗に
マイクロスコープ専用の小さな器具を使い、穴の周りの感染物を丁寧に取り除いていきます。マイクロスコープで見ることで非常に鮮明に状況を知ることができます。

10.穿孔部を綺麗にして封鎖
間違えた方向に空いていた穴の周りを綺麗にお掃除し、消毒した上で穴を塞ぎ、外との遮断を行いました。

11.穿孔部封鎖後のX線写真
後ろの根の穴が適切な材料で埋められている様子が確認できます。外との遮断を適切に行うことが重要です。

12.本来の根も綺麗に根管充填
その後、本来の根の中も綺麗にし、症状が無くなっていることを確認し、根の中に最終的なお薬を入れました。

13.経過を見ながら仮歯を調整
仮歯と歯の際の部分の段差が無いように仮歯を調整し、歯肉の状態を整え型取りをします。

14.オールセラミックスクラウンを作製
型取りした模型からオールセラミックスクラウンを作製しました。

15.オールセラミックスクラウンをセット
オールセラミックスクラウンをセットした直後です。
自然な形に再現することができました。

16.セット時のX線写真
根の内側の封鎖をした部分は安定しているようです。

17.治療後3年2ヶ月後の口腔内写真
術後3年2ヶ月の写真です。大きな問題なく経過良好です。

18.治療後3年6ヶ月後のX線写真
こちらは3年6ヶ月のフォローアップ時のX線写真です。問題なく経過しています。
今後も丁寧に経過を見て行くことをお伝えしました。

術後5年5ヶ月の口腔内写真

術後5年5ヶ月のレントゲン写真
本症例は、2021年5月15日の経過観察で5年5ヶ月の経過を迎えました。
現在も不快症状無く、安定した経過をたどっております。
今後も丁寧に経過観察を続けていきたいと思います。
| 治療費 | 感染根管治療 大臼歯 165,000円(税込) ※土台、冠の料金は別途かかります |
|---|---|
| 治療回数 | 4回(根の治療のパート) |
| 治療リスク | 症状の再発が起きた場合、原因を確認し、再治療、もしくは外科的な治療で対応いたします。 |
左下の第一大臼歯の強い痛みを訴え来院されました。
3日前から痛みだし、今はズキズキとした痛みで鎮痛剤も効かない状態で、冷たい水を飲むと少し楽になるとのことでした。この、ズキズキとして何もしなくても痛い状態は、専門的に「自発痛」と呼び、多くの場合歯の神経(歯髄)の炎症がかなり進行していると起こります。
歯の神経は、炎症が進むとやがて徐々に壊死していきますが、自発痛が起こるほどの炎症を止めて神経を生かす方向に戻すことは、非常に困難な治療です。
そして、神経の状態を考えず、無理やり残すような治療をすると、つらい痛みが残り、また壊死した神経が腐って、歯の周りの骨に炎症が起こるさらに重篤な事態を招きます。
本症例は、術前の診査では、神経に生きている反応はありましたが、CTで根の先端に黒い影(膿)の所見があったため、すでに神経の状態はかなり厳しいものと診断し、患者様に神経を残せない可能性を十分に説明し、治療を開始しました。
虫歯を除去し、露出した神経をマイクロスコープで確認すると、ほぼ血流がなく、やはり大半が壊死した状態であり、残すことは不可能と判断しました。
神経を除去し、適切に中を消毒し、根の先端まで封鎖する材料を入れ治療を終了。患者様のつらい症状は全くなくなりました。
神経を残すことだけが正しい治療ではありません、その歯それぞれの神経の状態を適切に判断して、最良の治療をすることで、歯を長持ちさせることが可能です。

1.術前の口腔内写真
左下第一大臼歯、金属の詰め物が入っています。ズキズキとした辛い痛みが続いていました。

2.術前のレントゲン写真
金属の下に、以前の治療の後が見えます。かなり昔にやったという以前の治療時は非常に深い虫歯だった様です。神経の近くまで、材料が入っています。

3.術前のCTによる3次元的な診断
さらにCTで歯の状態を3次元的に調べると、やはり材料は神経に触れている可能性があること、根の先に黒い影が見え、膿が溜まっている様子がわかります。歯の神経は生きている反応を示したため、神経を残す可能性を探りながら、神経除去の可能性もご説明し治療開始します。

4.金属と材料を除去すると・・・
ラバーダムを行い、金属の詰め物と、以前治療した材料を除去すると、すぐに神経が露出しました。神経はほとんど出血がなく、大半が壊死して溶けてしまっているような所見でした。
ここで残せる可能性を探るため、もう少し深い位置に生きている神経があるか確認する断髄という処置を行います。

5.深層の神経も弱っています
更に深く神経を除去し、根の深い位置に生きている神経があればそれを残すこともできますが、今回はかなり深いところでも、全く出血せず、神経はほぼ全て壊死しているという最終診断のもと腐った神経を除去する「抜髄」に移行し
ます。

6.抜髄により、壊死した神経を除去
ファイルというヤスリのような器具を使用し、神経を除去しました。さらに、取り残しがないように徹底的に中を洗浄します。

7.根管充填のレントゲン写真1
きれいになった根の空間を埋める処置を根管充填といいます。必ず角度を変えた2枚のレントゲンを取り、根の先端まで材料が入っているかを確認します。

8.根管充填のレントゲン写真2
根の尖端までしっかりと材料を入れ封鎖することができました。

9.根管充填直後の根の中
3つの根の管と、それをつなぐ構造物の中まで空間を残すことなく材料を入れることができま
した。

10.オールセラミッククラウンを製作
抜髄終了後、グラスファイバーを使った土台を立てすべてセラミックを使用した冠を製作しま
した。

11.セラミクスクラウンをセット
セラミッククラウンをセットしました。審美的にも美しい仕上がりです。

12.セラミッククラウンセット時のレントゲン写真
冠と歯の間に全く隙間のない状態でセットできている事がわかります。患者様のつらい症状も全くない状態で安定した経過をたどっています。

13.術後4ヶ月のCT画像
術後にCTを撮影すると、根の先にできていた膿はほぼ消えていることが確認できます。根の中で腐った神経を取り除くことで、根の先の骨の炎症を食い止めることが可能になります。
| 治療費 | 抜髄 大臼歯 165,000円(税込) ※土台、感の料金は別途かかります |
|---|---|
| 治療回数 | 3回(抜髄のパート) |
| 治療リスク | 根の先に炎症所見が出たり、不快症状が再発した際には原因を特定し、保存可能でであれば再治療、もしくは外科的な介入を致します。 |
本症例の患者様は、右上奥歯の噛んだ時の強いお痛みを訴えて来院されました。
レントゲンを取ると大きな膿が根の先に溜まっており、その膿を作っている炎症(根尖性歯周炎)が急性化を起こしたと診断しました。
CTでは、上顎洞と呼ばれる鼻腔の横に存在する大きな空洞の底面を破って炎症が波及しつつある様子がわかります。 上顎洞というのは、頬の両側の骨の中にある大きな空洞です。いわゆる副鼻腔と呼ばれるもので鼻腔の空気清浄機のような役割を持っています。
この上顎洞は、アジア人のほとんどの人の顔の丈が短いため、上顎の奥歯の根の先が上顎洞に近接しています。 そのため、根の先にできた炎症が大きくなると、上顎洞の底面を破って感染が侵入してしまうことがあります。
これを歯性上顎洞炎と呼び、歯が原因で起こる鼻炎です。一度罹患してしまうと治りづらく、不快症状に長期間悩まされることもある疾患です。
本症例では、歯性上顎洞炎を起こしかけている第2大臼歯の根管治療を行うことで、つらい症状と、根の先にあった大きな膿と炎症を消失させることに成功しました。
これにはCTによる診断が非常に重要です。当院では、根管治療を行う殆どの症例に術前のCTによる審査を行い、3次元的な解剖学的な状態の把握を行い治療に臨んでいます。

1.術前の口腔内写真
右上第2大臼歯のお痛みがあり、治療を開始。金属の冠のようなものが入っています。

2.術前のレントゲン写真
レントゲンでは、白く抜けたところが金属です。根の先には黒い影があり、炎症による膿が溜まっていることが確認できます。

3.術前のCT画像
CTを撮影することでレントゲンではわからない3次元的な診断を行うことが可能になります。炎症は副鼻腔の骨に穴を開け侵入しかけている様子がわかります。根の先の膿の広がり方や根の解剖学的な形態を術前にしっかりと把握して治療を行います。

4.土台を除去すると・・・
非常に大きい土台が入っており、マイクロスコープを使用してご自身の歯を傷つけないように除去しました。出てきた土台の下の歯は広範囲に虫歯になっています。

5.虫歯を染め出して確認
虫歯の染め出し液を使い虫歯の範囲を特定します。土台の根の大半が虫歯になり、そのばい菌によって根の先に炎症が起きたことが予想されます。

6.虫歯を除去しラバーダムを装着
虫歯をすべて除去し、歯の周囲の失われた部分に樹脂を使い壁を立てます。隔壁という処置です。隔壁の目的はこのラバーダムをかけることができるように歯の形を整えることにあります。
オレンジ色の部分が以前の治療で入れたお薬です。汚染されているので除去しなければいけません。

7.汚染された根の中の材料をすべて除去
汚染されていた以前の治療の材料を丁寧に残さず除去しました。

8.頬の側にある根の股の部分に穴を発見
穿孔という状態で、根の股のような薄い部分に起こります。穿孔部には以前の治療材料などの感染物が大量に入っていたのでマイクロスコープを使用し、根の外まできれいにしました。

9.穿孔部を特殊なセメントを用いて封鎖
穿孔は、以前に比べ適切な材料を用いて、適切な環境で封鎖することによって、高い成功率で治すことが可能になってきました。
本症例でもMTAという特殊なセメントを用いて封鎖を行いました。

10.根管充填により根の中を封鎖
術前の痛み、不快症状が消失していることを確認し、キレイにした根の管に新たにばい菌が繁殖する空間を作らないように、根の中に材料を入れて封鎖します。この処置を、根管充填といいます。

11.色合わせの写真を撮影し、型取りをします
根管充填後、グラスファイバーの土台を入れ、仮歯で歯肉の状態を整え、型取りをします。歯の色を合わせるシェードガイドを撮影します。

12.セラミッククラウンを製作
色合わせの写真をもとに高い審美性のあるセラミッククラウンを製作しました。

13.セラミッククラウンをセット
セラミッククラウンが土台に精密に合っていることを確認し、かみ合わせを調整し、セットします。

14.セラミッククラウンセット時のレントゲン写真
クラウンと土台に隙間なくセットできました。
また、根の先の膿はだいぶ小さくなってきてい
ます。

15.根管充填より2年5ヶ月の口腔内写真
患者様の症状は消失し、安定した経過をたどっています。

16.根管充填後2年5ヶ月のレントゲン写真
レントゲン写真では、根の先にあった大きな膿が消失していることがわかります。

17.根管充填後4年後のCT画像
術後4年の経過観察時に撮影したCTでも、根の先の膿は消失していることが確認できました。

術後6年6ヶ月後の口腔内写真

術後6年6ヶ月後のレントゲン写真
本症例は、2021年5月13日の経過観察で6年6ヶ月の経過を迎えました。
不快症状なく安定した経過をたどっています。
今後も丁寧な経過観察を続けていきます。
| 治療費 | 感染根管治療 大臼歯 165,000円(税込) ※土台、冠の料金は別途かかります |
|---|---|
| 治療回数 | 5回(根管治療のパート) |
| 治療リスク | 不快症状が再発した際には原因を特定し、保存可能であれば再治療、 もしくは外科的な介入を致します。 |
このような専門的な知識とテクニック、設備を用いることで、今まで残すことが難しいと考えられていた歯を保存することが可能になってきました。
何度も腫れを繰り返している、痛みが全く取れない、他のクリニックで抜歯することになった、綺麗な歯を入れるための基礎工事をしっかりやっておきたいなど、歯を残すことについてどんな小さなことでもご相談ください。
少しでも歯のお悩みの解決の力になれれば嬉しいです。

精密根管治療・歯髄保存・修復治療 専門
〒150-0021
東京都渋谷区恵比寿西2-2-8寿豊ビル4F
精密根管治療・歯髄保存・修復治療
恵比寿ヘンミデンタルオフィスへのご予約はお電話にて
| 診療時間 | 月 | 火 | 水 | 木 | 金 | 土 |
|---|---|---|---|---|---|---|
| 10:00-13:00 | ● | ※ | ● | ● | ● | ※ |
| 14:30-18:30 | ● | ● | ● | ● |
休診日:日曜日/祝日/隔週火曜・土曜
※:隔週で火曜日と土曜日を交互にお休みをいただく週休2日となっております。